Endodontics

Diagnosis and treatment of dental pulp (“nerve”) diseases

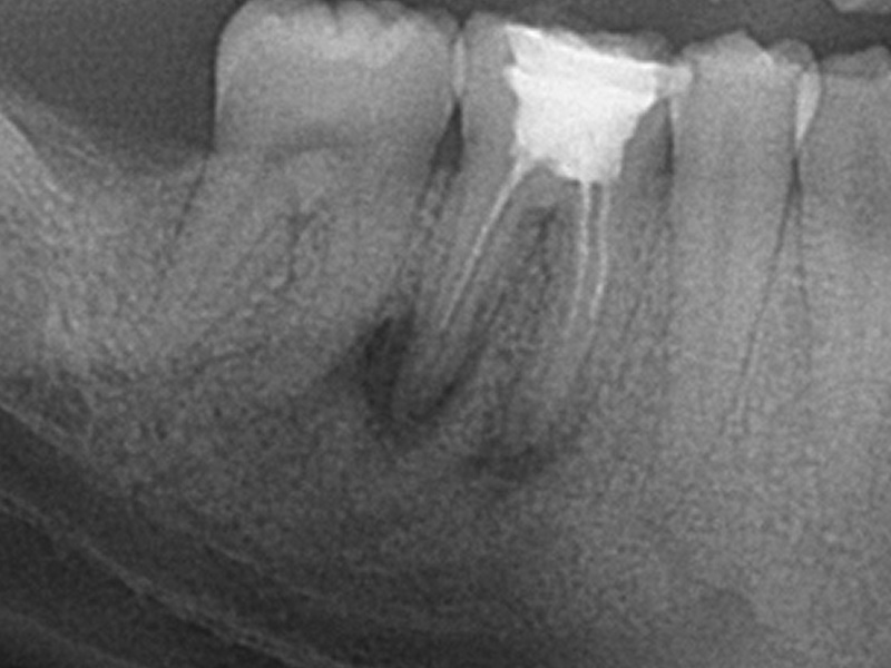
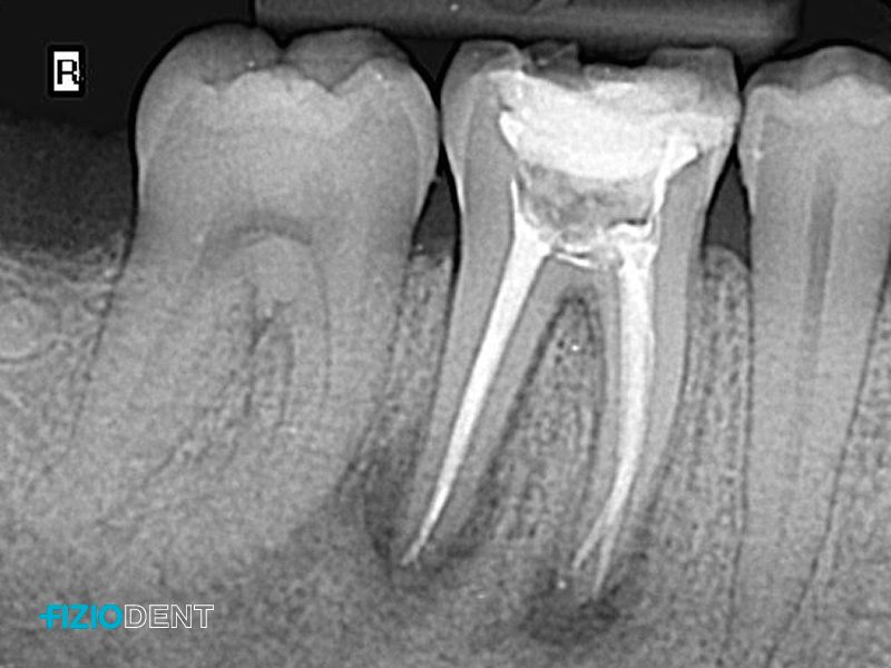
Endodontics is the branch of dentistry that deals with the treatment of tooth root canals. If a tooth affected by caries is not treated in time, bacteria from the decay destroy the hard tooth tissue and eventually reach the dental pulp, causing pulpitis, an inflammation of the tooth.

Treatment involves opening the tooth, removing the infected tissue from inside the tooth using manual and mechanical instruments, and irrigating with various solutions to eliminate the inflamed tissue. The procedure can usually be completed in one or two visits.

The root canals are filled with a biocompatible material that seals the space and prevents reinfection of the endodontic area.
The success of the endodontic treatment should be checked with an X-ray of the tooth. Ultimately, the tooth should be restored with a filling, post, or crown to ensure proper function and aesthetics.
2026 Copyright © Polyclinic Fiziodent
crossmenuchevron-up