Aesthetic Dentistry

We provide the best aesthetic solutions in modern cosmetic dentistry

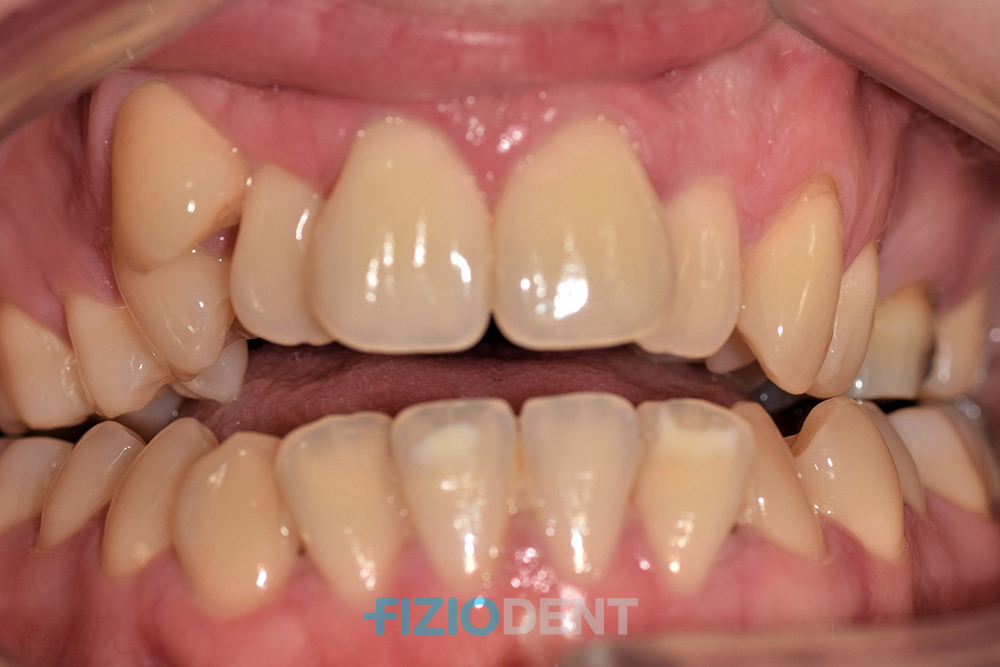
DENTAL VENEERS

Dental veneers are permanent prosthetic restorations that help achieve a perfect smile. Ceramic veneers provide excellent aesthetic results and represent a fast, efficient, and long-lasting solution for a beautiful smile.

Veneers represent an exceptionally aesthetic solution for discolored or chipped teeth. They can be used to change the color, inclination, or size of teeth and to address worn teeth or teeth affected by erosion.Ceramic veneers offer possibilities that cannot be achieved with any other type of restoration, all while requiring minimal tooth preparation. The amount of tooth reduction depends on the position of the teeth, so sometimes no grinding is needed at all; the veneer is bonded to the tooth, creating a harmonious smile. The longevity of veneers depends on biological factors as well as oral hygiene.

If you want to restore confidence in your smile, veneers are the solution for you. You are an ideal candidate if you have your natural teeth and do not have large composite fillings. During consultations with our dental doctors, you will find out which types of veneers are optimal for you.

AESTHETIC FILLINGS

Aesthetic fillings are an ideal solution for achieving a beautiful and natural smile.
These composite fillings, also known as white fillings, are made in the clinic during a single visit. Their application allows for effective repair of chipped teeth and closing gaps between teeth. In addition to restoring lost hard tooth tissue, white fillings also provide an aesthetic value. Aesthetic fillings match teeth' natural color and appearance and can be repaired if damaged. They can be used on both front and back teeth to achieve excellent results in shaping a natural and healthy smile.

TEETH WHITENING

Healthy, bright white teeth are a dream for everyone. Your smile is extremely important as it reflects your overall health and is often the first thing others notice about you. Therefore, it is not surprising that teeth whitening is the most sought-after cosmetic dental procedure. Teeth whitening is a treatment that lightens the existing color of your teeth by several shades.

Teeth color can be affected by various genetic and degenerative changes, changes in the quality of mineralization, or the accumulation of certain types of pigments in the teeth. Additionally, consuming colored foods and drinks and poorly performed endodontic treatments are common causes of tooth discoloration. Teeth whitening is ideal for individuals who have healthy teeth and want an even more beautiful smile. Teeth can be whitened using different methods. Before orthodontic treatment and whitening procedure.
2026 Copyright © Polyclinic Fiziodent
crossmenuchevron-up